"Έφυγε" το ιδρυτικό μέλος του ΠΑΣΟΚ Νίκος Ακριτίδης σε ηλικία 91 ετών
Υπήρξε ιδρυτικό μέλος του ΠΑΣΟΚ το 1974, ενώ στις κυβερνήσεις του Ανδρέα Παπανδρέου διετέλεσε υπουργός Εμπορίου και υπουργός Συγκοινωνιών.
Ο 61χρονος που προσήλθε μόνος του στο Τμήμα Επειγόντων Περιστατικών και νοσηλεύεται σε απομόνωση στο νοσοκομείο Παπαγεωργίου - Είναι σε καλή κατάσταση
- Newsroom
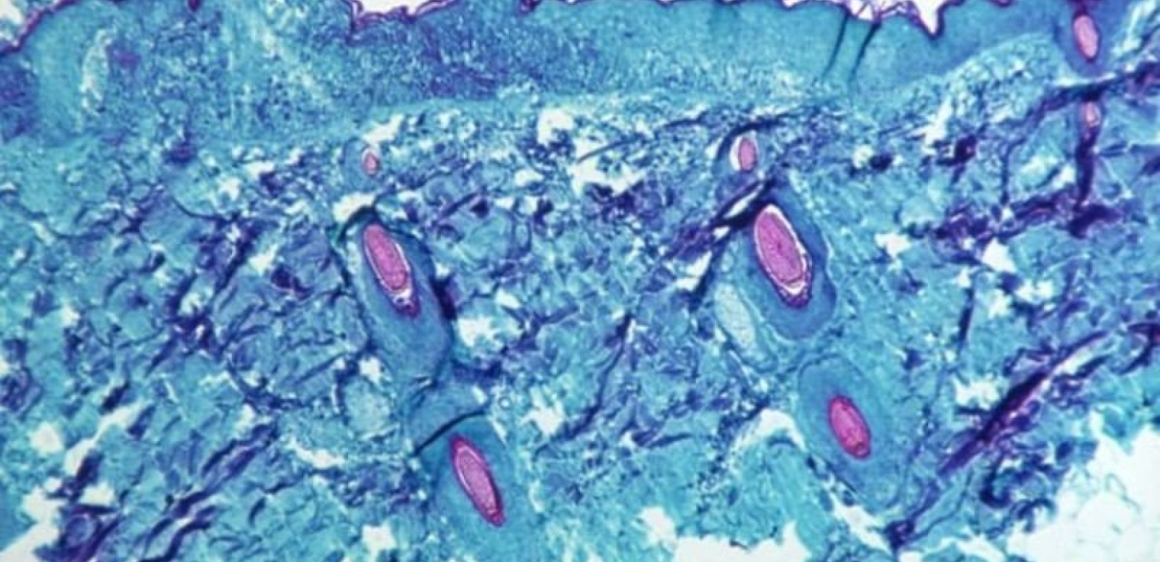
Σε συναγερμό τέθηκαν από χθες οι υγειονομικές Αρχές της Θεσσαλονίκης για ύποπτο κρούσμα της ευλογιάς των πιθήκων σε 61χρονο άνδρα από το Μαρόκο, ο οποίος νοσηλεύεται στο νοσοκομείο Παπαγεωργίου.
Ο 61χρονος βρίσκεται ήδη σε απομόνωση σε θάλαμο αρνητικής πίεσης, ενώ σήμερα Παρασκευή -πιθανότατα το μεσημέρι- αναμένονται τα αποτελέσματα των εξετάσεων από τα δείγματα που έχουν σταλεί στο ΑΠΘ, για να φανεί αν έχει όντως μολυνθεί από την θανατηφόρα νόσο που έχει σκορπίσει ανησυχία στην Ευρώπη το τελευταίο διάστημα. Επιπλέον, όπως προβλέπεται, ενημερώθηκε σχετικά και ο ΕΟΔΥ.
Σύμφωνα, πάντως, με πληροφορίες, ο άνδρας είναι σε πολύ καλή κατάσταση ενώ έχει πολύ περιορισμένα συμπτώματα.
Στο μεταξύ, όπως προειδοποίησε εχθές ο Περιφερειακός Διευθυντής Ευρώπης του Παγκόσμιου Οργανισμού Υγείας, Χανς Κλούγκε, «η Ευρώπη παραμένει στο επίκεντρο της μεγαλύτερης και γεωγραφικά πιο εκτεταμένης επιδημίας της ευλογιάς των πιθήκων που έχει αναφερθεί ποτέ εκτός των ενδημικών περιοχών της δυτικής και κεντρικής Αφρικής», τονίζοντας πως ο κίνδυνος εξάπλωσης μέσα στο καλοκαίρι παραμένει υψηλός.
Όπως τόνισε η καμπύλη κρουσμάτων ήταν απότομη τις τελευταίες 2 εβδομάδες, ενώ περιέγραψε όσα γνωρίζουν οι ειδικοί για την ευλογιά των πιθήκων μέχρι αυτή τη στιγμή. «Ακόμη κι αν καθημερινά παρουσιάζονται νέοι ασθενείς, οι έρευνες σε προηγούμενα περιστατικά δείχνουν ότι η επιδημία στην περιοχή μας (σ.σ. Ευρώπη) ήταν σίγουρα σε εξέλιξη ήδη από τα μέσα Απριλίου» ανέφερε.
Σημειώνεται πως, προ ημερών, η καθηγήτρια Επιδημιολογίας στην Ιατρική Σχολή του ΕΚΠΑ, Αθηνά Λινού, επεσήμανε πως θεωρεί «απίθανο να μην εμφανιστεί κρούσμα και στην Ελλάδα». Γι’ αυτό δίνει έμφαση στους τρόπους μετάδοσης, τα συμπτώματα και τα μέτρα προστασίας, τονίζοντας ότι η ιχνηλάτηση των επαφών, ο γρήγορος εντοπισμός νέων κρουσμάτων και η απομόνωση, είναι οι παράγοντας που θα σπάσουν την αλυσίδα μετάδοσης.
«Είναι απίθανο να μην έχουμε κανένα κρούσμα στην Ελλάδα, εκτός και αν μπορέσουμε τις επόμενες ημέρες να εξαλείψουμε τη νόσο, αλλά πλέον είναι σε 19 χώρες. Πώς θα μπορέσουν αυτές οι χώρες να βρουν τις επαφές των 200 κρουσμάτων που έχουν;», αναρωτήθηκε.
Αναφορικά με τη μεταδοτικότητα, τόνισε ότι ακόμα δε «γνωρίζουμε τη μεταδοτικότατα αυτής της μορφής που κυκλοφορεί σήμερα στην Ευρώπη. Βλέπουμε ότι κάθε 2 με 3 μέρες διπλασιάζονται τα κρούσματα οπότε πρέπει να πάρουμε άμεσα μέτρα».
Σύμφωνα με την ίδια «υπάρχουν περισσότερα κρούσματα», καθώς «η ευλογιά των πιθήκων, όπως και η ανθρώπινη ευλογιά, κάνει περίπου δύο εβδομάδες για να έχει ορατά συμπτώματα. Άρα όποιοι έχουν κολλήσει σήμερα θα δούμε τα περιστατικά αυτά τις επόμενες δύο εβδομάδες».
Υπήρξε ιδρυτικό μέλος του ΠΑΣΟΚ το 1974, ενώ στις κυβερνήσεις του Ανδρέα Παπανδρέου διετέλεσε υπουργός Εμπορίου και υπουργός Συγκοινωνιών.
«Η Εκκλησία της Κωνσταντινουπόλεως, διά του προκαθημένου της, σας συγχαίρει και εκφράζει την ευαρέσκειά της για την πρωτοβουλία αυτή, αλλά και για το έργο σας συνολικά», ανέφερε ο Πατριάρχης
Η ενέργεια πραγματοποιείται ως «μπλόκο» στην προγραμματισμένη συγκέντρωση της οργάνωσης «Ιερός Λόχος 2012»
Είχε προηγηθεί απόφαση σφράγισής τους από τον αρμόδιο δήμο