Λευκάδα: 4χρονος κατάπιε σφήκες
Με περιπολικό μεταφέρθηκε στο νοσοκομείο
Άμεσα οδηγήθηκε στο ΠΑΓΝΗ με τους γιατρούς να προχωρούν σε επείγουσα αφαίρεση η οποία στέφθηκε με επιτυχία
- Newsroom
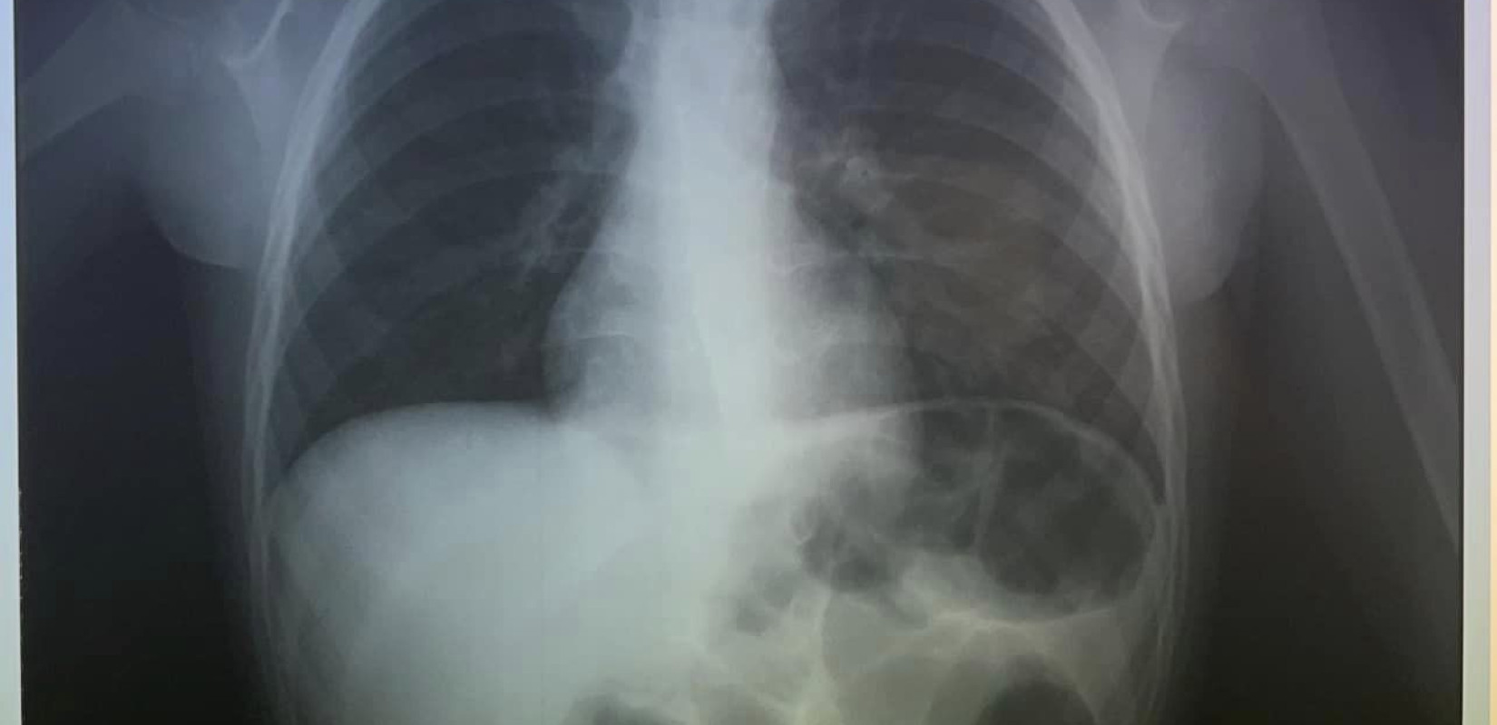
Εσπευσμένα στο νοσοκομείο μεταφέρθηκε παραμονή Πρωτοχρονιάς ένα παιδί μόλις τεσσάρων χρονών.
Σύμφωνα με το cretapost, το 4χρονο παιδί είχε καταπιεί ένα κέρμα και δεν μπορούσε να αναπνεύσει.
Άμεσα οδηγήθηκε στο ΠΑΓΝΗ με τους γιατρούς να προχωρούν σε επείγουσα αφαίρεση η οποία στέφθηκε με επιτυχία.
Το περιστατικό γνωστοποιήθηκε από την ΩΡΛ κλινική του νοσοκομείου μέσω ανάρτησης στα social media.
Έως σήμερα, έχουν πιστωθεί 1,44 δισεκ. ευρώ στους λογαριασμούς 532.611 αγροτών και κτηνοτρόφων
Γεννημένη στη Θεσσαλονίκη το 1928 - Το 1986 ο Ανδρέας Παπανδρέου της ανέθεσε καθήκοντα υφυπουργού Υγείας
Θα οδηγηθούν ενώπιον του αρμόδιου εισαγγελέα Πατρών